Les pathologies bucco-dentaires
Douleurs au chaud, au froid, ou au brossage : comment soulager l’hypersensibilité dentaire ?
Votre chirurgien-dentiste est habilité à effectuer des injections d’acide hyaluronique dans la zone péri-buccale, ceci dans un cadre thérapeutique.
Une dent dévitalisée et soignée peut s’infecter et nécessiter une reprise du traitement de la racine ou « retraitement endodontique ».
La totalité des dents des deux maxillaires constitue un ensemble stable et la perte d’une seule dent peut perturber tout l’équilibre de la bouche.
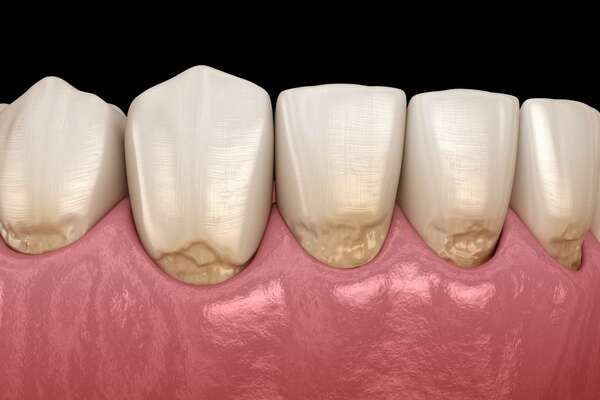
La mylolyse ou lésion cervicale d’usure se définit comme une perte de matière dentaire se localisant au collet de la dent.















